Cabinet du Docteur Rémy ZUTTERMAN
ESTHÉTIQUE DU SOURIRE - IMPLANTOLOGIE - PARODONTOLOGIE
RÉSIDENCE LE GOYEN - 02 RUE GÉNÉRAL ROSE, 83110 SANARY SUR MER
+33 4 94 74 49 00
Cabinet du Docteur Rémy ZUTTERMAN
ESTHÉTIQUE DU SOURIRE - IMPLANTOLOGIE - PARODONTOLOGIE

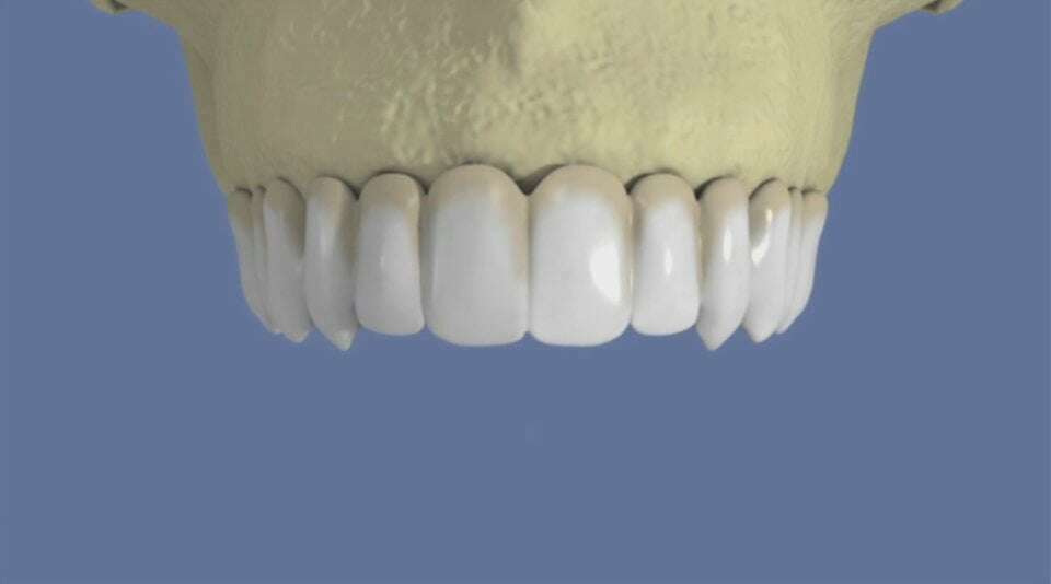
Maxillaire : bridge vissé sans fausse gencive


video-play-icon

Articles similaires

Création par Webdentiste

Connexion