Cabinet du Docteur Rémy ZUTTERMAN
ESTHÉTIQUE DU SOURIRE - IMPLANTOLOGIE - PARODONTOLOGIE
RUE GÉNÉRAL ROSE - RÉSIDENCE LE GOYEN, 83110 SANARY SUR MER
+33 4 94 74 49 00
Cabinet du Docteur Rémy ZUTTERMAN
ESTHÉTIQUE DU SOURIRE - IMPLANTOLOGIE - PARODONTOLOGIE

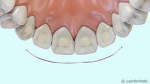
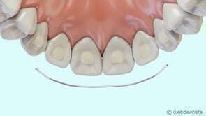
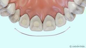
Fil de contention


video-play-icon

Articles similaires

Création par Webdentiste

Connexion